Anti-Mitochondria (Marker for Human Cells, Granular RCC's & Salivary Tumors) Monoclonal Antibody(Clone: MTC02/2860R)
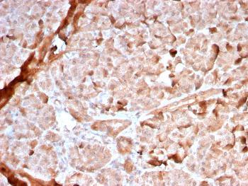
Fig. 1: Formalin-fixed, paraffin-embedded human Pancreas stained with Mitochondria Rabbit Recombinant Monoclonal Antibody (MTC02/2860R).
Roll over image to zoom in
Shipping Info:
For estimated delivery dates, please contact us at [email protected]
| Amount : | 100 µg |
| Isotype : | Rabbit IgG |
| Content : | 200 µg/ml of Ab Purified from Bioreactor Concentrate by Protein A/G. Prepared in 10mM PBS with 0.05% BSA & 0.05% azide. Also available WITHOUT BSA at 1.0mg/ml. |
| Storage condition : | Antibody with azide - store at 2 to 8°C. Antibody is stable for 24 months. Non-hazardous. |
| Immunogen Information : | Semi-Purified mitochondrial preparation |
Immunohistochemistry (Formalin-fixed) (1-2ug/ml for 30 minutes at RT)(Staining of formalin-fixed tissues requires heating tissue sections in 10mM Tris buffer with 1mM EDTA, pH 9.0, for 45 min at 95°C followed by cooling at RT for 20 minutes)
For Research Use Only. Not for use in diagnostic/therapeutics procedures.
|
There are currently no product reviews
|

















.png)














