Anti-SELPLG antibody(68H10), IgG1 Chimeric mAb
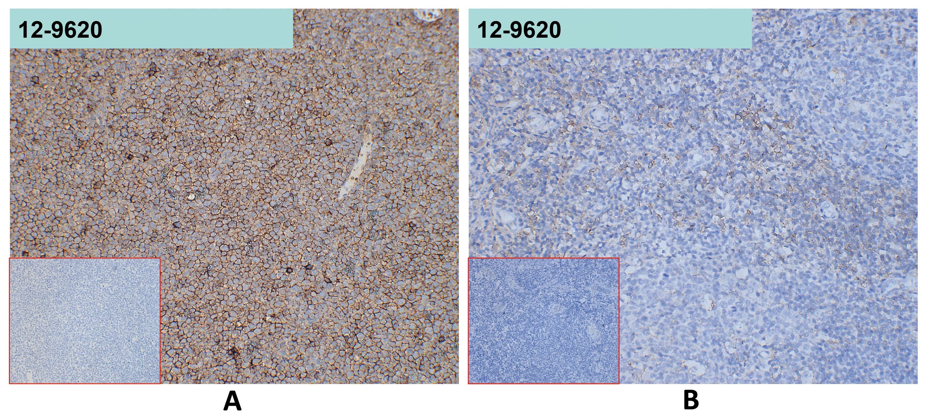
Figure 1. A. 12-9620 at 10µg/ml staining SELPLG in MM.1S xenografts in nude mice by IHC (Cat# 12-9620);B. 12-9620 at 10µg/ml staining SELPLG in human tonsil tissue by IHC (Cat# 12-9620)
Roll over image to zoom in
Shipping Info:
For estimated delivery dates, please contact us at [email protected]
| Amount : | 100 μg |
| Isotype : | Rabbit/Human Fc chimeric IgG1 |
| Purification : | Purified from cell culture supernatant by affinity chromatography |
| Content : | Lyophilized from sterile PBS, pH 7.4. Normally 5 % - 8% trehalose is added as protectants before lyophilization. Please see Certificate of Analysis for specific instructions of reconstitution. |
| Storage condition : | Store at -20°C to -80°C for 12 months in lyophilized form. After reconstitution, if not intended for use within a month, aliquot and store at -80°C (Avoid repeated freezing and thawing). Lyophilized proteins are shipped at ambient temperature. |
| Gene : | SELPLG |
| Uniprot ID : | A0A7N9CVJ8 |
| Alternative Name : | PSGL-1,PSGL1,CD162,Selectin P ligand |
This gene encodes a glycoprotein that functions as a high affinity counter-receptor for the cell adhesion molecules P-, E- and L- selectin expressed on myeloid cells and stimulated T lymphocytes. As such, this protein plays a critical role in leukocyte trafficking during inflammation by tethering of leukocytes to activated platelets or endothelia expressing selectins. This protein requires two post-translational modifications, tyrosine sulfation and the addition of the sialyl Lewis x tetrasaccharide (sLex) to its O-linked glycans, for its high-affinity binding activity. Aberrant expression of this gene and polymorphisms in this gene are associated with defects in the innate and adaptive immune response. Alternate splicing results in multiple transcript variants.
IHC 1:100
For Research Use Only. Not for use in diagnostic/therapeutics procedures.
|
There are currently no product reviews
|





















.png)











